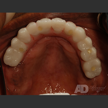
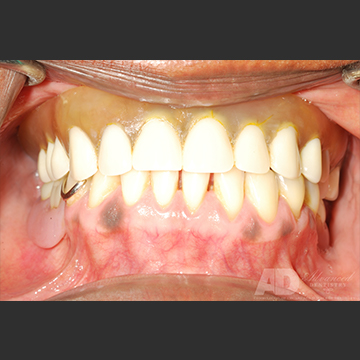
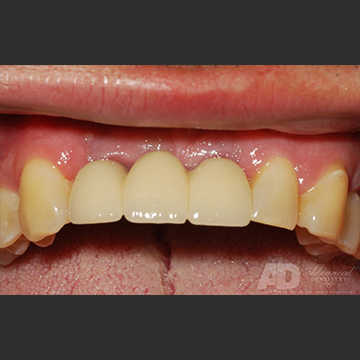
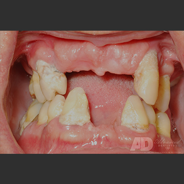
All-On-X Implant dentures Double Arch All-on-X; Hopeless Dentition to full Arch Implant Restorations Before After Schedule Your complimentary consultation today! Call Us Today Request An Appointment Max-Full Arch Implant Supported Restoration & Lower Esthetic Crowns Before After Max-Full Arch Implant Supported Restoration Before After Schedule Your complimentary consultation today! Call Us Today Request An Appointment Max-Full Arch Implant Supported Restoration & Lower Removal Partial Denture & Esthetic Crowns Before After Max-Full Arch Implant Supported Restoration Before After Schedule Your complimentary consultation today! Call Us Today Request An Appointment Denture to Full Arch Implant Restoration; All-On-X Before After Implant Bridge Before After Implant Crowns Before After Schedule Your complimentary consultation today! Call Us Today Request An Appointment