Dental Crowns in Sugar land
Reclaim Your Confidence with a Smile Worth Sharing
Are you self-conscious about a cracked or chipped tooth? Does a weakened tooth cause discomfort or make chewing difficult? Damaged or worn-down teeth not only affect the appearance of your smile but can also compromise your overall oral health.
At Advanced Dentistry of Sugar Land, Dr. Varghese P. John and our experienced team are here to help you restore your smile with expert dental crown solutions. We understand the challenges that come with damaged teeth, which is why we take a personalized approach to every treatment.
Whether you’re dealing with cracks, chips, or weakened enamel, we’ll craft custom dental crowns that enhance both the aesthetics and functionality of your teeth. Stop searching for “the best dentist for crowns near me”—Dr. John’s expertise and commitment to patient care make him the trusted choice in Sugar Land, TX. Let us help you achieve a smile that’s healthy, beautiful, and uniquely yours!
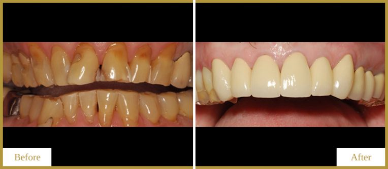
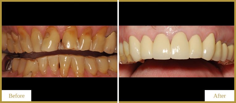
Smile Gallary










Amazing New Smile Make Overs
Dental Crowns
For a Beautiful Smile
Dental Crowns in Sugar Land, TX: Restoring Strength and Confidence
Dental crowns in Sugar Land, TX, are more than just cosmetic enhancements—they’re a transformative solution for restoring the strength, functionality, and aesthetics of your smile. These custom-made tooth-shaped caps fit seamlessly over damaged teeth, offering a range of benefits:
Benefits of Dental Crowns
Strength and Protection:
Dental crowns act as a durable shield, protecting fragile teeth from cracks, fractures, and further wear. With crowns, you can enjoy your favorite foods again without worrying about damaging your teeth.Restored Bite Function:
Crowns help restore proper bite alignment, alleviating jaw pain and discomfort while preventing future dental complications.Improved Aesthetics:
Say goodbye to hiding your smile. At Advanced Dentistry of Sugar Land, Dr. Varghese P. John uses high-quality materials to craft crowns that blend seamlessly with your natural teeth, enhancing your smile and boosting your confidence.
Advanced Dentistry: Your Partner for Dental Crown Solutions
At Advanced Dentistry, we offer a variety of dental crown options to suit your specific needs and preferences:
Custom Porcelain Crowns:
Crafted from high-grade porcelain, these crowns offer exceptional strength, durability, and natural translucency. Porcelain crowns mimic the light-reflecting properties of natural teeth, making them an ideal choice for a flawless, undetectable restoration.Ceramic Crowns:
For patients seeking a metal-free solution, ceramic crowns provide excellent strength and aesthetics. These are particularly well-suited for front teeth, where appearance is a top priority.Metal Crowns:
In cases where maximum durability is essential, metal crowns made from gold or titanium alloys may be recommended. These are ideal for back teeth, which endure significant pressure during chewing.
Schedule Your Dental Crown Consultation Today
Whether you’re looking to restore a damaged tooth or enhance your smile, Advanced Dentistry of Sugar Land is here to help. With our expertise in dental crown restoration, you can regain the strength, functionality, and confidence of a healthy smile. Contact us today to learn more about our personalized dental crown options in Sugar Land, TX, and take the first step toward a brighter, stronger smile!
Why Choose
Advanced Dentistry
for Dental Crowns
Experienced and Skilled Team:
At Advanced Dentistry of Sugar Land, your care is in expert hands. Led by Dr. Varghese P. John, our team of highly trained dental professionals has extensive experience in dental crown placement and restoration. We stay up-to-date with the latest materials, techniques, and advancements to ensure your treatment delivers exceptional, long-lasting results.Commitment to Quality and Natural Beauty:
We take pride in providing crowns that look as good as they feel. Using only premium materials and advanced dental technology, we design and craft crowns that are durable, functional, and virtually indistinguishable from your natural teeth. Our crowns are tailored to complement your unique smile and facial features, ensuring a harmonious and confident appearance.
Choose Advanced Dentistry of Sugar Land for expert dental crown solutions that combine precision, artistry, and patient-focused care.
Schedule Your
Appointment today!
Unlock the Smile You Deserve
Don’t let dental imperfections hold you back from living your best life. Reach out to us today and let Dr. Varghese P. John and our skilled team help you achieve a smile you’ll be proud to share. With expert care and personalized treatment, we’ll transform your teeth and restore the confidence you deserve!